哈尔滨医科大学第一临床医学院电话:0451-85556000

false
哈医大

新闻中心

 

 

 

哈尔滨医科大学附属第一医院是黑龙江省最大的医疗中心,医疗专科设置齐全,技术力量雄厚。

资讯分类
/
/
/
/
气道遭肿瘤封堵 哈医大一院群力院区呼吸内科团队毫米微创为九旬老人架起生命桥梁

气道遭肿瘤封堵 哈医大一院群力院区呼吸内科团队毫米微创为九旬老人架起生命桥梁

  • 分类:综合新闻
  • 作者:
  • 来源:
  • 发布时间:2025-12-10 08:42
  • 访问量:

【概要描述】

气道遭肿瘤封堵 哈医大一院群力院区呼吸内科团队毫米微创为九旬老人架起生命桥梁

【概要描述】

  • 分类:综合新闻
  • 作者:
  • 来源:
  • 发布时间:2025-12-10 08:42
  • 访问量:
详情

近日,哈医大一院群力院区呼吸内科介入中心通过两场高难度手术,用一枚精准植入的气道支架,为老人架起生命通道,在毫米之间续写了医学奇迹。

“吸……呼……”麻醉苏醒后,90岁的唐爷爷(化名)深深吸了口气,气流顺畅涌入双肺的瞬间,这位被肿瘤封堵气道多日的老人,眼中泛起了泪光。

此前,一颗恶性肿瘤在唐爷爷右主支气管内疯狂生长,将这条生命通道彻底堵死。有慢阻肺病史的他,轻微活动便呼吸困难,每一次吸气都如濒死挣扎。在家人的陪同下,唐爷爷来哈医大一院群力院区呼吸内科于世寰主任处就诊。经肺部CT显示,他的右肺门及气管内占位、双肺炎症伴右肺不张,情况危急。

“老人高龄,手术风险倍增,但放任不管就是眼睁睁看着生命流逝。”呼吸内科于世寰主任牵头,联合麻醉科等部门反复评估,并与家属充分沟通后,11月14日,在麻醉科文质斌医生配合下,于世寰主任和张春玲副主任医师、吴昊岚主管护师一起率先为老人实施支气管镜下削瘤治疗。术后老人呼吸一度好转,但镜下削瘤治疗新生物进展较快,三天后,唐爷爷病情突发反复,右肺完全不张,呼吸功能再次衰竭。

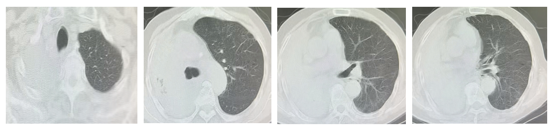
图1 第一次支气管镜介入治疗三天后复查肺CT(右肺完全不张)

“必须立即架起‘生命桥梁’!”经家属同意后,于世寰主任当机立断,决定实施支气管镜下肿瘤清除+气道支架植入术。11月17日,这场与死神赛跑的“生命突围”在介入中心展开。支气管镜传回的影像中,肿瘤组织已将气道完全侵占,这属于 “完全性堵塞” ,是医学上最危急的情况之一。团队手中的内镜器械成为开辟通路的“精密武器”。

在麻醉科刘淑杰副主任保驾护航下,董福实副主任医师和吴昊岚主管护师合作默契,高频电圈套、氩气刀率先切割肿瘤组织,瞬间汽化开辟空间;冷冻探头将瘤体冻结黏连,取出时出血极少;最后,由活检钳将病灶精准钳取。通过“冷热交替”的微雕式操作,在毫米间为生命开辟通路。

图2 第二次支气管镜下介入治疗后,放置气道支架

通路打通后,于世寰主任精准测量狭窄段长度,一枚40mm×12mm的镍钛合金支架被送入气道。在体温作用下,这枚“记忆金属”支架缓缓张开,完美贴合支气管壁,稳稳撑起呼吸通道。

图3 于世寰主任进行支气管镜下操作

“终于能痛快喘气了!”苏醒后,唐爷爷自主深呼吸的模样,让医护团队倍感欣慰。从窒息绝望到重获自由,这场手术不仅技术上突破了高龄禁区,更用仁心为暮年患者点亮生命之光。

“科技终将为人性服务。”于世寰主任表示,团队将持续探索介入技术边界,让更多重症患者在医学进步中重获新生。这口顺畅的呼吸,既是生命的礼赞,更是医者仁心最生动的注脚。

暂时没有内容信息显示
请先在网站后台添加数据记录。
哈医大

哈尔滨医科大学附属第一医院 

THE FIRST AFFILIATED HOSPITAL OF HARBIN MEDICAL UNIVERSITY

哈尔滨医科大学附属第一医院网站提供的所有原创内容与设计均受相关法律保护,为哈尔滨医科大学附属第一医院网站或相关权利人专属所有或持有。未经许可或明确书面授权,任何人不得复制、转载、摘编、修改、链接哈尔滨医科大学附属第一医院网站内容,违反上述声明者,我们将依法追究其相关法律责任。

这是描述信息

微信公众号

这是描述信息

微信公众号

在线客服
客服热线
客服热线
0451-53643849 0451-53643849
服务时间:
8:00 - 24:00
客服热线
客服组:
在线客服
客服组:

Copyright  2010  哈尔滨医科大学  第一临床医学院  附属第一医院  版权所有  黑ICP备05004837号

哈尔滨医科大学 Copyright  2010  哈尔滨医科大学  第一临床医学院  附属第一医院  版权所有  黑ICP备05004837号

Copyright  2010  哈尔滨医科大学

第一临床医学院  附属第一医院  版权所有

黑ICP备05004837号